Kayseri’de midesinde uyuşturucu taşıyan şahıslar yakalandı

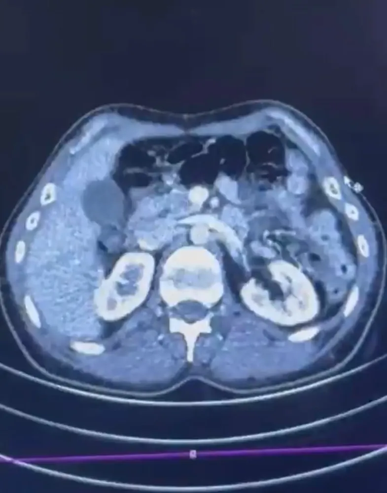
Kayseri’de İran’dan ülkeye uyuşturucu getirdiği belirlenen 3 kişi, mide muayenesi sırasında kapsüller halinde toplam 554 gram uyuşturucu ile yakalandı. Şüpheliler hakkında “Uyuşturucu Madde Ticareti” suçundan işlem başlatıldı.

ASAYİŞ 9.12.2025 11:06:00 0
Kayseri’de midesinde uyuşturucu taşıyan şahıslar yakalandı

Edinilen bilgiye göre Narkotik Suçlarla Mücadele Şube Müdürlüğü ekiplerince uluslararası uyuşturucu madde ticareti yapan kurye şahıslara yönelik gerçekleştirilen çalışmalarda, İran’dan Türkiye'ye uyuşturucu madde getirdiği tespit edilen şüpheli şahısların yakalanması amacıyla operasyon düzenlendi. Düzenlenen operasyonda; S.C., R.B.C. ve G.M. yakalandı. S.C. ve R.B.C.'nin Kayseri Şehir Hastanesi'nde yapılan iç beden muayenelerinde, mide kısımlarında bulunduğu tespit edilen 50 adet kapsül şeklinde toplam 554 gram uyuşturucu madde ele geçirildi. Şüpheliler gözaltına alınarak haklarında 'Uyuşturucu Madde Ticareti Yapmak' işlem başlatıldı.
Kayseri İl Emniyet Müdürlüğü'nden yapılan açıklamada; "Uyuşturucu ve uyarıcı madde satıcılarına karşı yürüttüğümüz mücadele aralıksız ve kararlı bir şekilde devam edecektir" denildi.

Haber Kaynak : İHA

Haber Kaynak

İHA

Salı 15.7 ° / 7.4 °
Çarşamba 14.7 ° / 7.4 °
Perşembe 15.3 ° / 5.9 °